Mixing failures of endodontic sealers: an in vivo biocompatibility study
DOI:
https://doi.org/10.14295/bds.2017.v20i4.1464Abstract
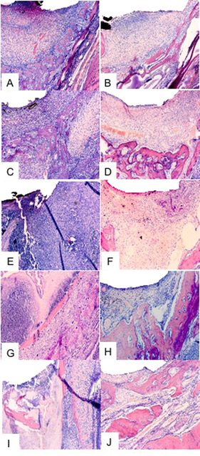
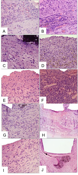
Objective: Evaluate, in vivo, the influence of mixing failures on endodontic sealers. Material and methods: To alveolus analysis, 80 rats were divided into Sealapex® and AH Plus® groups. Within each group, the sealer was subjected to either partial (incomplete homogenization—simulating handling failures) or total mixing (complete homogenization) over two periods of 7 and 30 days (n = 20). The maxillary incisor was extracted and a polyethylene tube containing the sealer was inserted. To quantify edema, 40 male rats were divided into four groups (n = 10). The animals received 2% Evans Blue intravenously, and either AH Plus® or Sealapex® was injected subcutaneously. The rats were euthanized after 3 or 6 hours and analyzed in a spectrophotometer (630 ?m). To analyze the subcutaneous tissue, 20 rats received polyethylene tube implants with the sealers in the dorsal area (n=10), then euthanized after either 7 or 30 days, and inflammation was evaluated according to an inflammatory cells score. Results: In the alveolar 7-day group, control group presented an inflammation score 1, while all other groups presented a score 2, except AH plus® total mix group (3). After 30 days, all groups presented a score 1. The edemogenic test showed less edema in Sealapex® groups (p < 0.5). In subcutaneous 7-day period, all groups presented score 2. In 30 days, all groups revealed score 1, except AH Plus® partial mix group (2). Conclusion: Regarding mixing of the sealers, there were no significant differences among the groups.
Keywords
AH Plus; Inflammation; Materials testing; Root canal filling materials; Sealapex.
Downloads
Downloads
Additional Files
Published
How to Cite
Issue
Section
License
Brazilian Dental Science uses the Creative Commons (CC-BY 4.0) license, thus preserving the integrity of articles in an open access environment. The journal allows the author to retain publishing rights without restrictions.
=================





















