Morphological evaluation of temporo-mandibular joint in indian population
DOI:
https://doi.org/10.14295/bds.2018.v21i1.1488Abstract
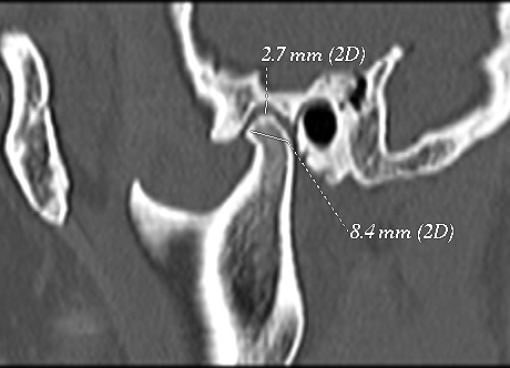
The temporomandibular joint (TMJ) is one of the most complex joints in the body and its harmonious functioning is very important to maintain a normal masticatory system. The morphologic alterations and the asymmetrical position of the TMJ structures may lead the various clinicalsigns & symptoms. Morphology of the temporomandibular joint may be influenced by gender of patients, environmental factor and also food habits at various places. Objective: To evaluate the morphology of the temporomandibular joint using computed tomography, in order to determine the condyle shape, joint space and glenoid fossa roof thickness. Material and Methods: One hundred and six healthy patients (212 TMJs) who visited a private hospital (or the University’s Hospital) for CT brain scan were included to this cross-sectional study sample.The patients were aged between 20–50 years with an average age of 35.46 years. All the images were taken by positioning patients in supine position with 120kvp , 50ma,2.33minute exposure with 0.7mm thick slicesby computed topography machine in all three projection that is Axial, Coronal and Saggital view. Results: For all variables, the mean and standard deviation were calculated, based on gender, and TMJ sides. The Paired t-test was used and P<0.05 will be considered to be significant. Conclusion: Present study showed that thereis positive evidence of temporomandibular joint involvement in elderly patients. Change in morphology and position of condylar head with glenoid fossa and roof thickness are one of the most common cause of degenerative diseases.
Keywords
Temporomandibular joint; Morphology; Condyle; Joint space.
Keywords
Temporomandibular joint; Morphology; Condyle; Joint space
Downloads
Downloads
Additional Files
Published
How to Cite
Issue
Section
License
Brazilian Dental Science uses the Creative Commons (CC-BY 4.0) license, thus preserving the integrity of articles in an open access environment. The journal allows the author to retain publishing rights without restrictions.
=================





















