Manifestation of Molar-Incisor Hypomineralisation in Twins: Clinical Case Reports
DOI:
https://doi.org/10.14295/bds.2013.v16i3.900Abstract
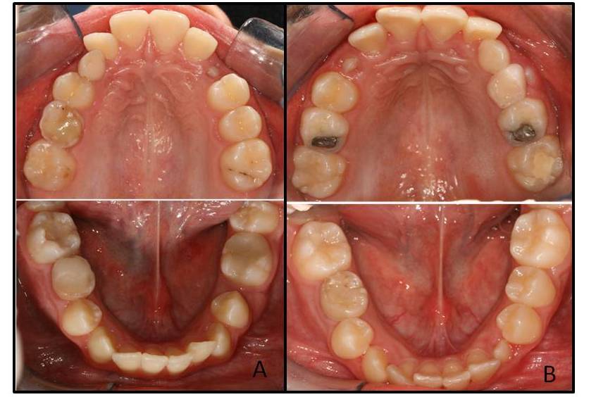
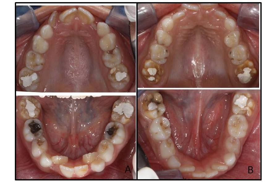
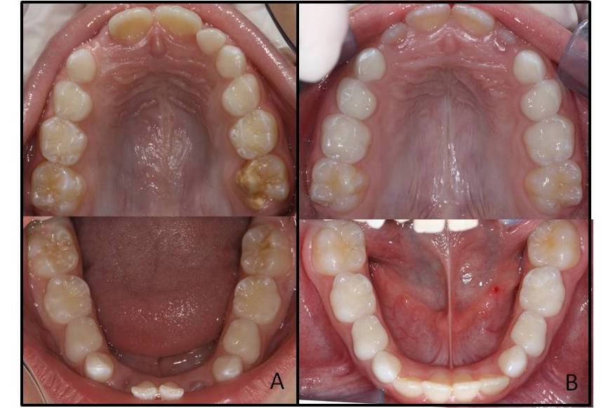
Molar-incisor hypomineralisation is a qualitative defect of dental tissue of systemic origin affecting one or more permanent first molars and sometimes the permanent incisors as well. There are still no conclusive data on the aetiology of this hypomineralisation, however, systemic factors such as respiratory diseases and prenatal and perinatal complications are regarded as possible causes. The objective is to present three clinical cases of twins, one Monozygotic Twins , and two Dizygotic Twins with molar-incisor hypomineralisation, besides showing evidence of its manifestation as well as clinical the characteristics and aetiological factors involved. The clinical findings involving twins show that ameloblasts are specifically affected in their developmental phase, which includes a number of factors although prenatal and perinatal complications not decisive in the development of molar-incisor hypomineralization and suggest a possible genetic susceptibility to the disease. Prospective observational studies using a population sample containing data on the last three months of gestation to the eruption of permanent teeth are needed to confirm the cause-effect relationships.
Downloads
Downloads
Additional Files
Published
How to Cite
Issue
Section
License
Brazilian Dental Science uses the Creative Commons (CC-BY 4.0) license, thus preserving the integrity of articles in an open access environment. The journal allows the author to retain publishing rights without restrictions.
=================





















