The importance of the dentist in the diagnosis of Cowden syndrome: case report
DOI:
https://doi.org/10.14295/bds.2016.v19i3.1262Abstract
Cowden Syndrome is an autosomal dominant disorder characterized by the development of several hamartomas in a variety of tissues, including the skin, gastrointestinal tract, adipose tissue, and bone and connective tissues. This syndrome is associated with a high risk of developing malignancies, especially breast, thyroid and endometrium cancers. This report presents a case of a 53-year-old patient who sought assistance at the Dentistry Department of the University Hospital of Brasilia (HUB) to receive basic dental treatment. The current and past medical history and oral and facial manifestations led to the diagnosis of Cowden syndrome. This case report aims to highlight the importance of a dental surgeon in the diagnosis of this syndrome, based on the observation of oral manifestations and medical history.
Keywords
Cowden Syndrome; Multiple Hamartoma Syndrome.
Downloads
Downloads
Additional Files
- Figure 1 - Frontal aspect of the patient reveals multiple papules on the nose wing.
- Figure 3 – Multiple papules in the tongue.
- Figure 4 - Jugal mucosa reveals multiple papules.
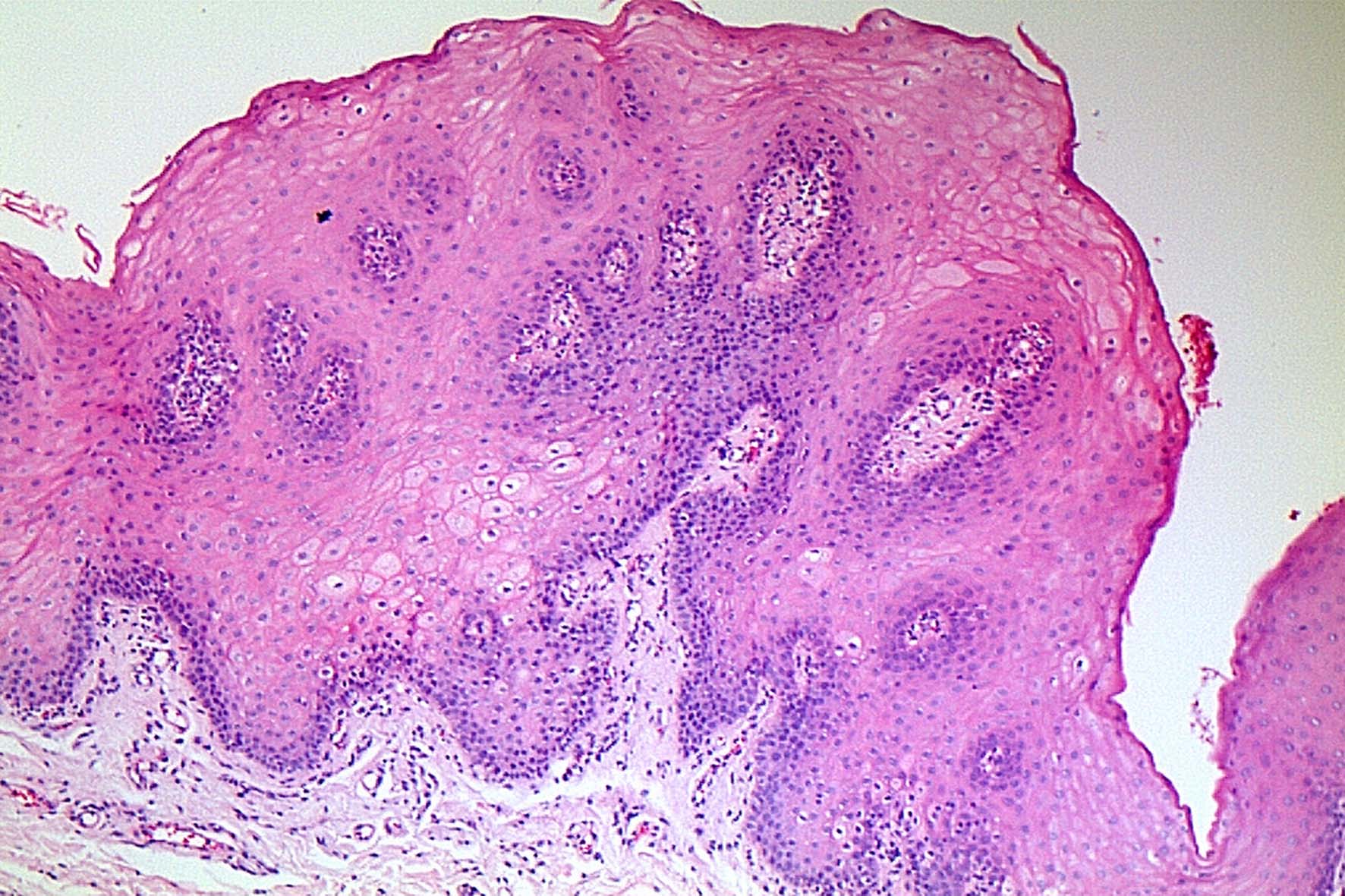
- Figure 5 - Microphotograph (10x) of histological sections stained by hematoxilin-eosin showing the epithelial hyperplasia, acanthosis and inflammatory infiltrate.
- Title Page
- Copyright transfer and responsibility statement
Published
How to Cite
Issue
Section
License
Brazilian Dental Science uses the Creative Commons (CC-BY 4.0) license, thus preserving the integrity of articles in an open access environment. The journal allows the author to retain publishing rights without restrictions.
=================





















