Myoepithelioma in accessory parotid gland: report of a rare case
DOI:
https://doi.org/10.14295/bds.2016.v19i1.1150Abstract
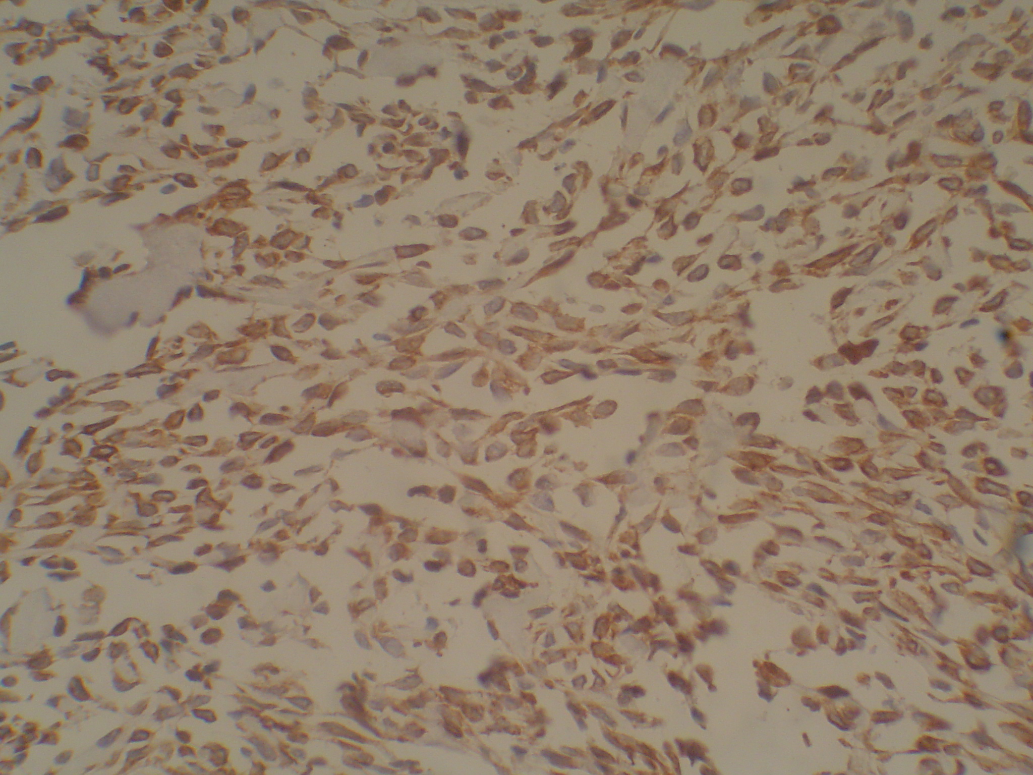
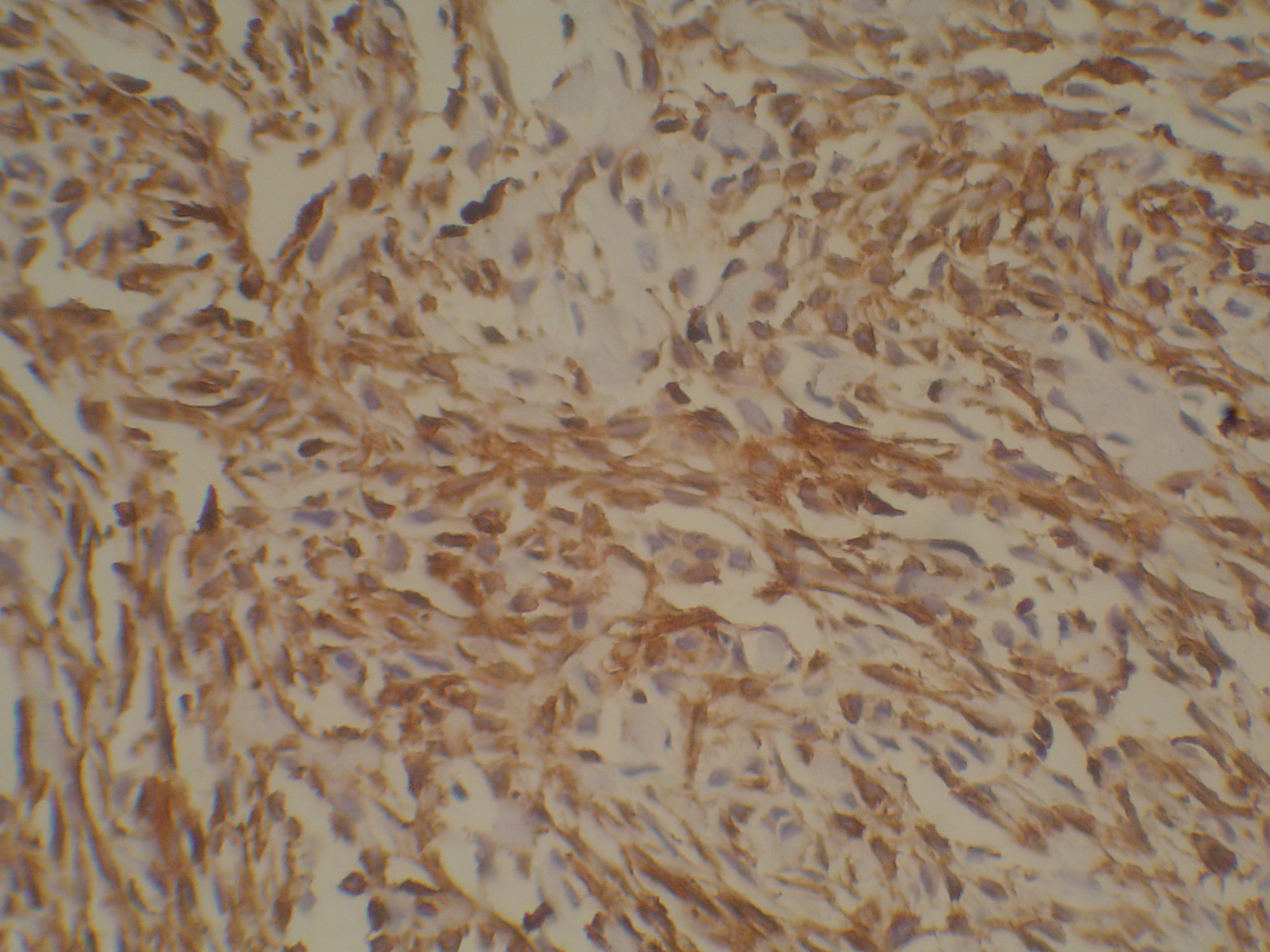
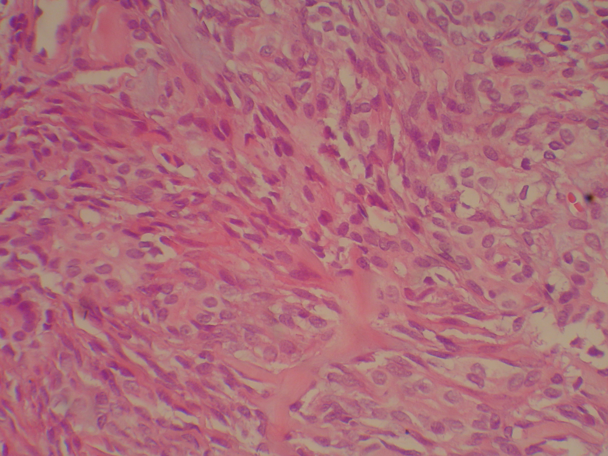
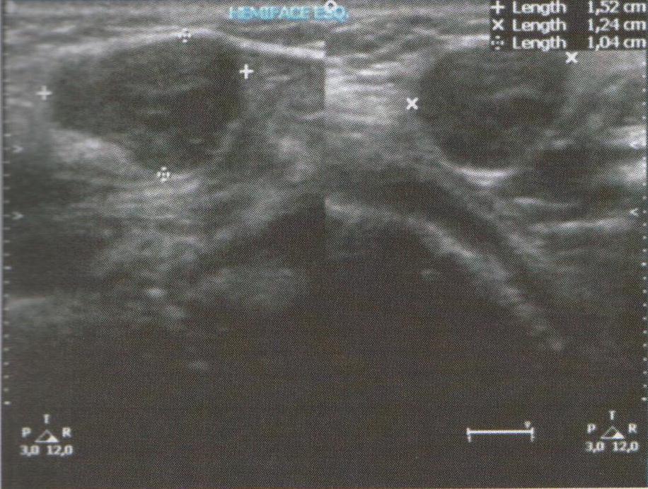
Myoepithelioma is a benign tumor of the salivary gland that mainly affects the parotid gland. The presence of an accessory parotid gland is an anatomical variation and neoplasms in this structure are extremely rare. This paper describes a case of a myoepithelioma arising in the accessory parotid gland of a 29-year-old woman. To the author´s knowledge this is the seventh case reported in English. The patient´s complaint was about a five year growing mass in the left cheek with a sudden growth outbreak. The patient underwent surgery via an intra-oral approach and the histopathology and the immunohistochemistry disclosed a myoepithelioma.
Downloads
Downloads
Additional Files
Published
How to Cite
Issue
Section
License
Brazilian Dental Science uses the Creative Commons (CC-BY 4.0) license, thus preserving the integrity of articles in an open access environment. The journal allows the author to retain publishing rights without restrictions.
=================





















