Multidisciplinary esthetic approach for multiple anterior diastema: 36-month clinical performance
DOI:
https://doi.org/10.14295/bds.2015.v18i4.1124Abstract
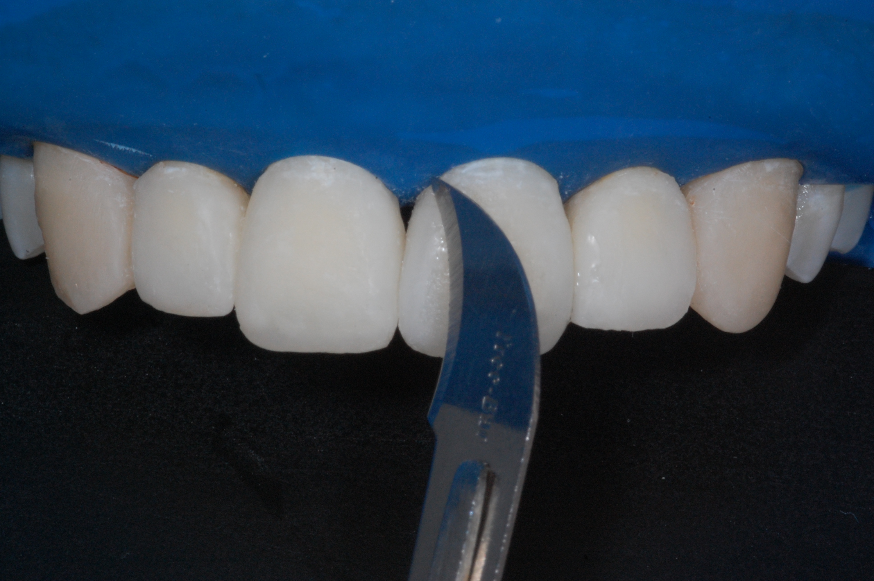
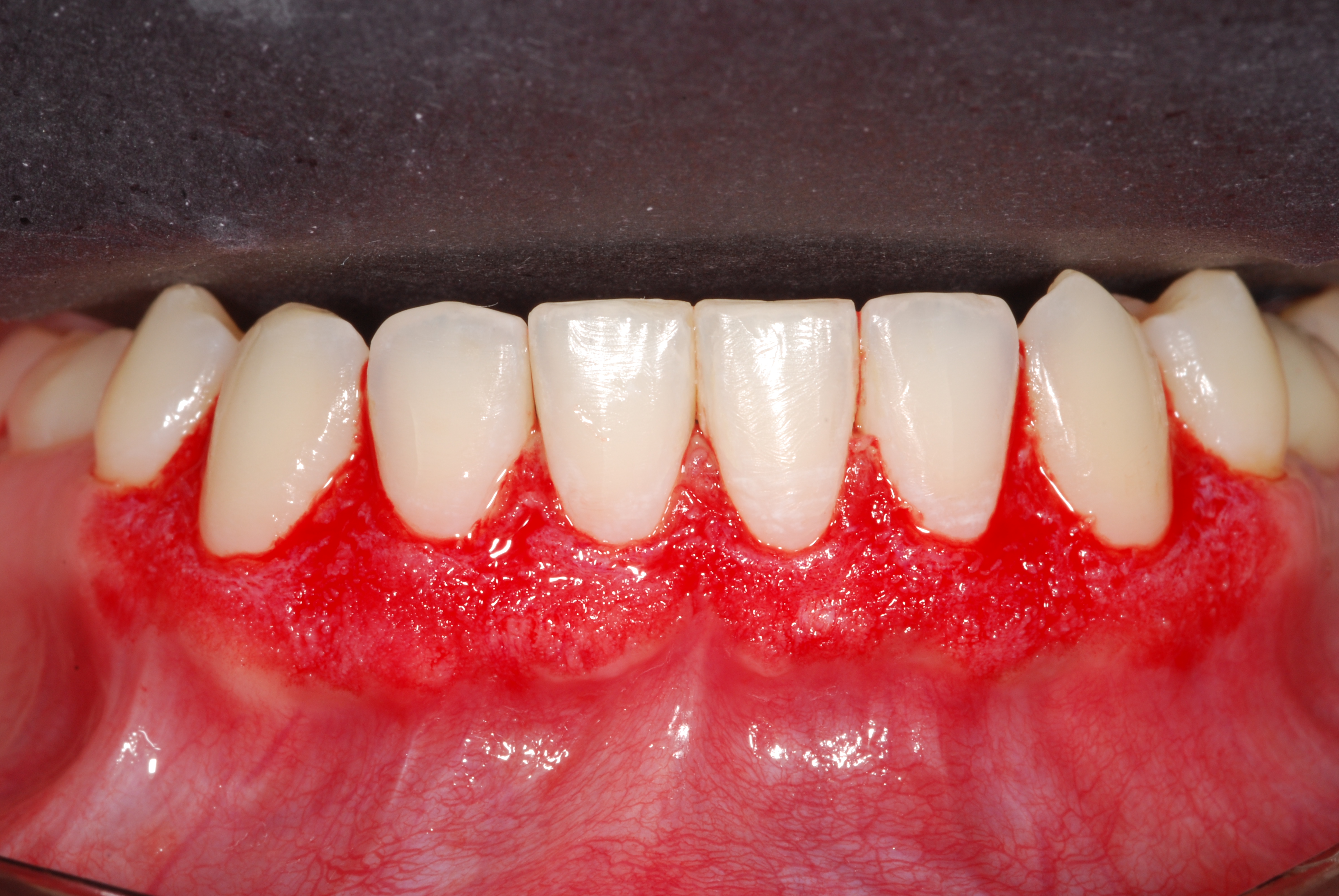
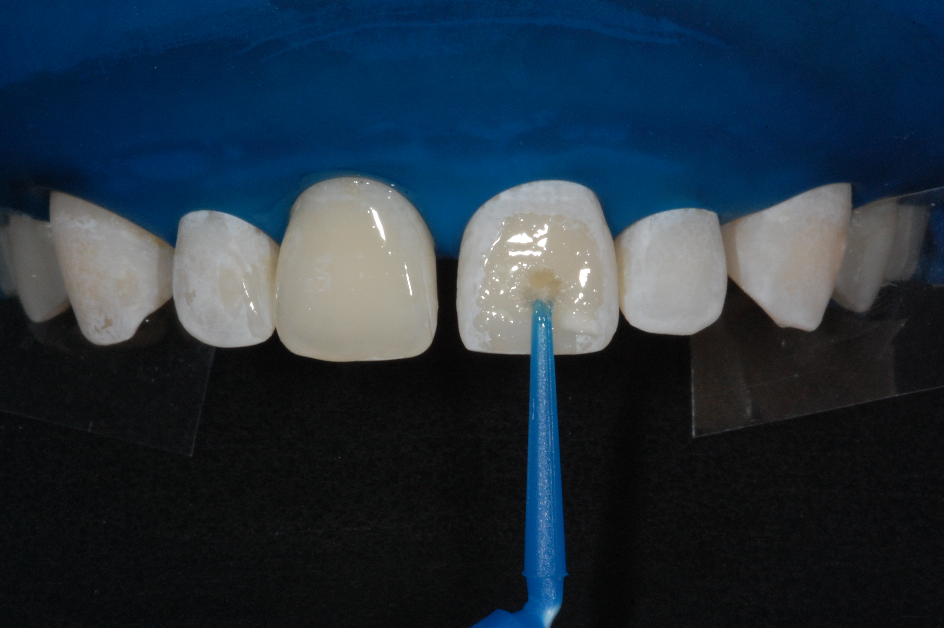
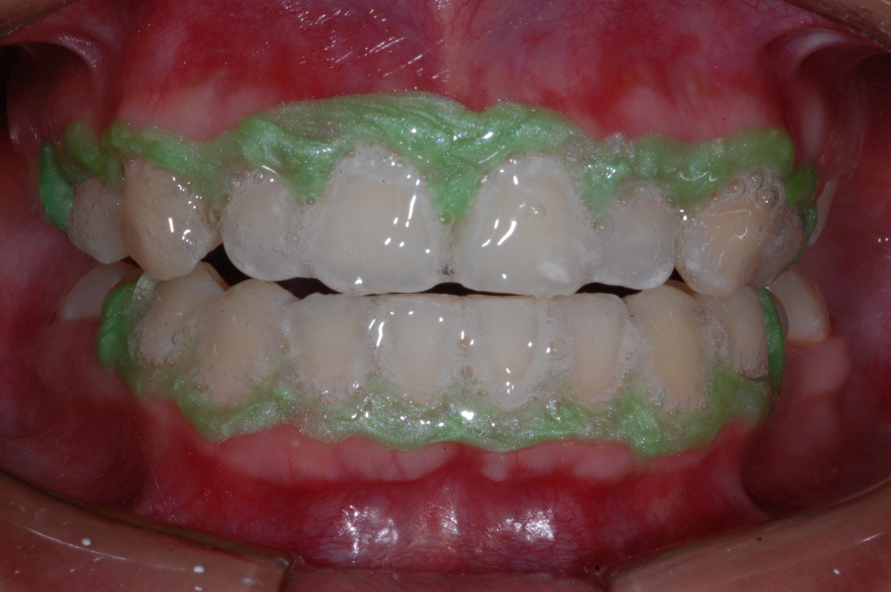
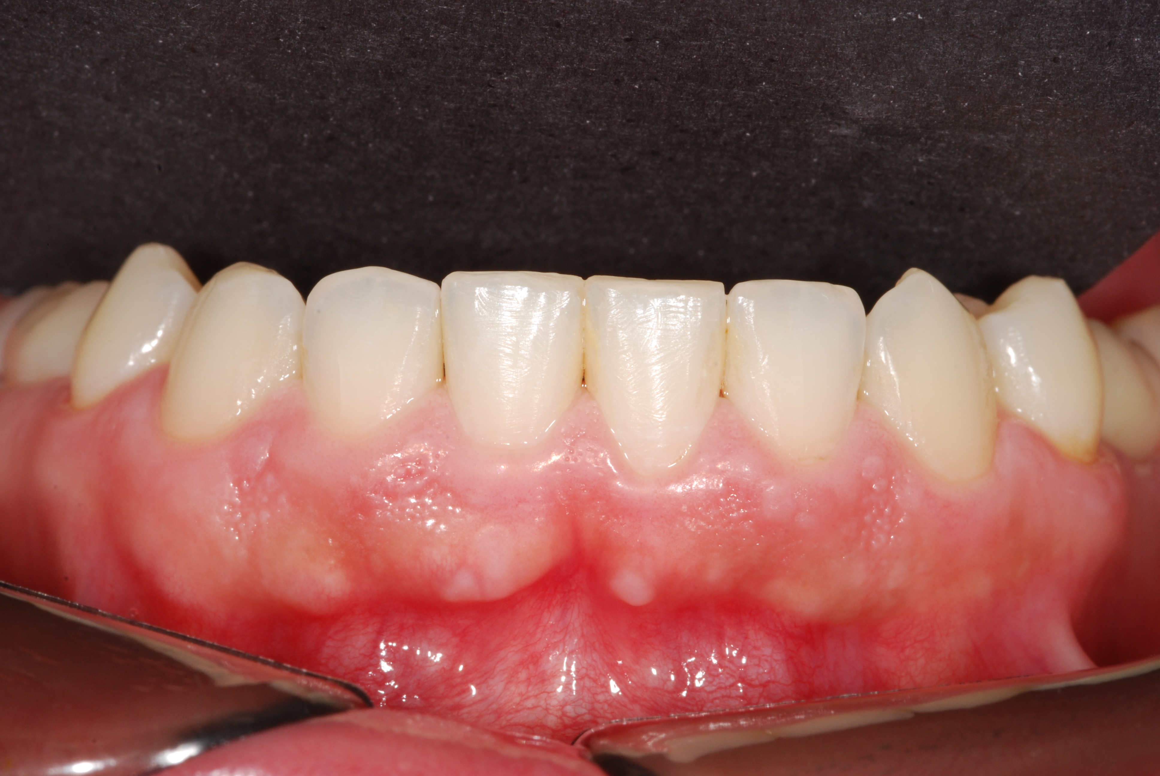
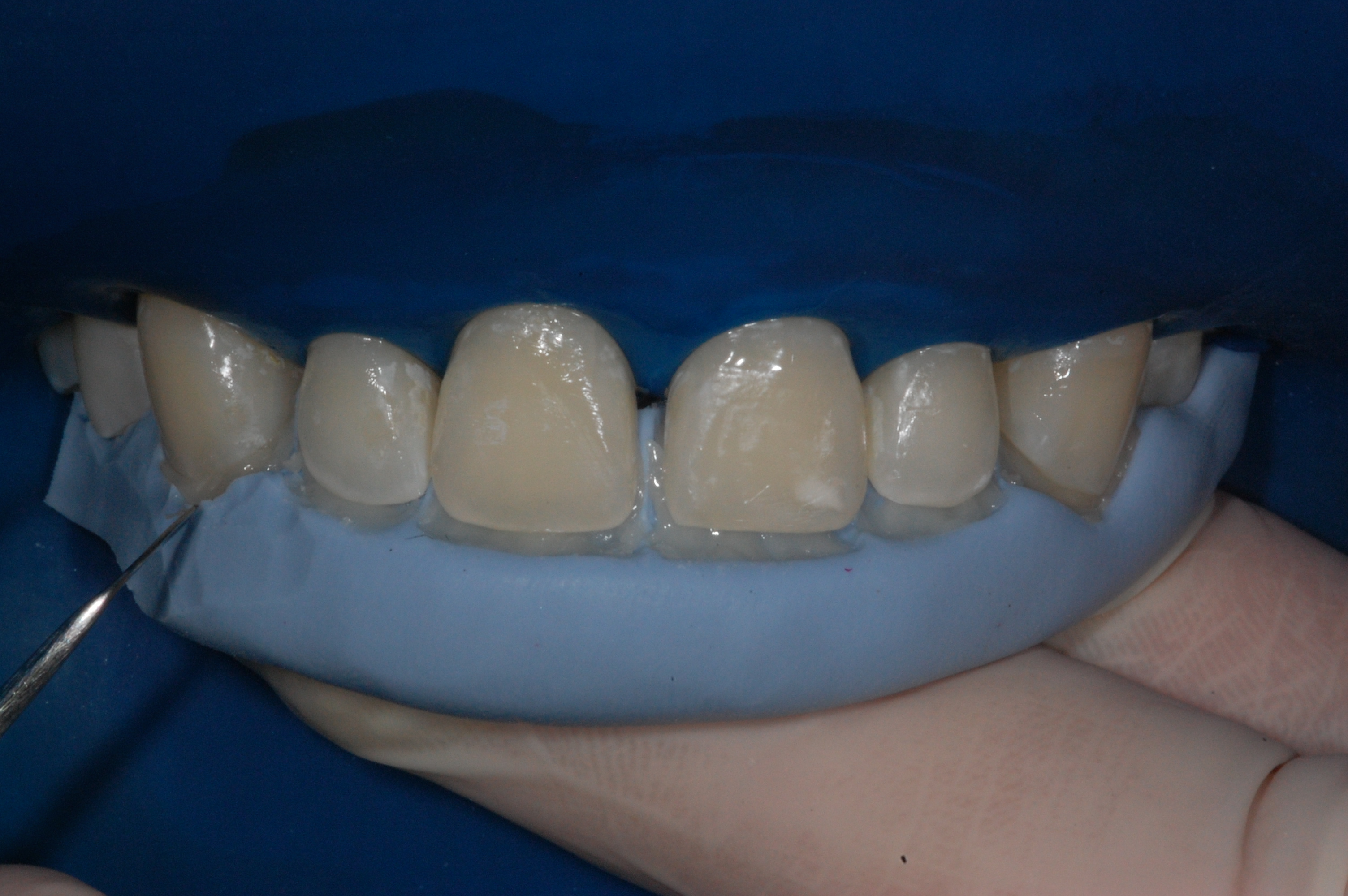
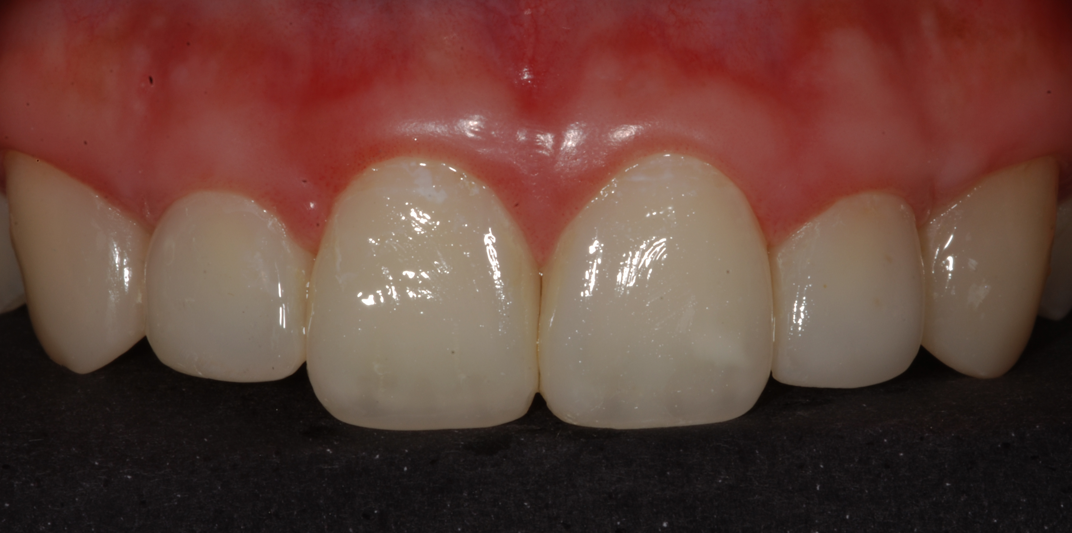
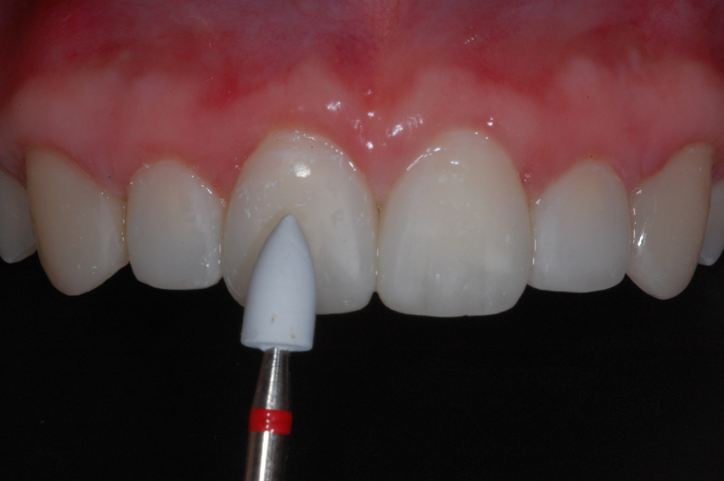
The presence of diastema, between anterior teeth, distorts a pleasing smile by concentrating the observer’s attention on the spaces. The patient’s needs and expectations must be considered in the process of treatment planning to ensure satisfaction with the treatment outcomes. There are many forms of therapy that can be used for diastema closure. A carefully developed diagnosis, which includes a determination of the causal elements and advanced treatment planning, allows the most appropriate treatment to be selected for each case. The aim of this paper is present a multidisciplinary approach as a solution to multiple diastemas in the anterior region using gingival tissue recontouring and direct adhesive restorations, with minimum wear of the dental structure, after the orthodontic intervention discussing the minimal intervention to obtain imperceptive and aesthetic final restoration. Thirty-six months after the treatment was carried out, the final aesthetic was maintained with all dental element details and gingival tissue harmony, without recurrence of periodontal pockets and the preservation of the tooth color and shape.
Downloads
Downloads
Additional Files
Published
How to Cite
Issue
Section
License
Brazilian Dental Science uses the Creative Commons (CC-BY 4.0) license, thus preserving the integrity of articles in an open access environment. The journal allows the author to retain publishing rights without restrictions.
=================





















