Enamel microabrasion associated with resin infiltration technique: Clinical Report
DOI:
https://doi.org/10.14295/bds.2017.v20i2.1292Abstract
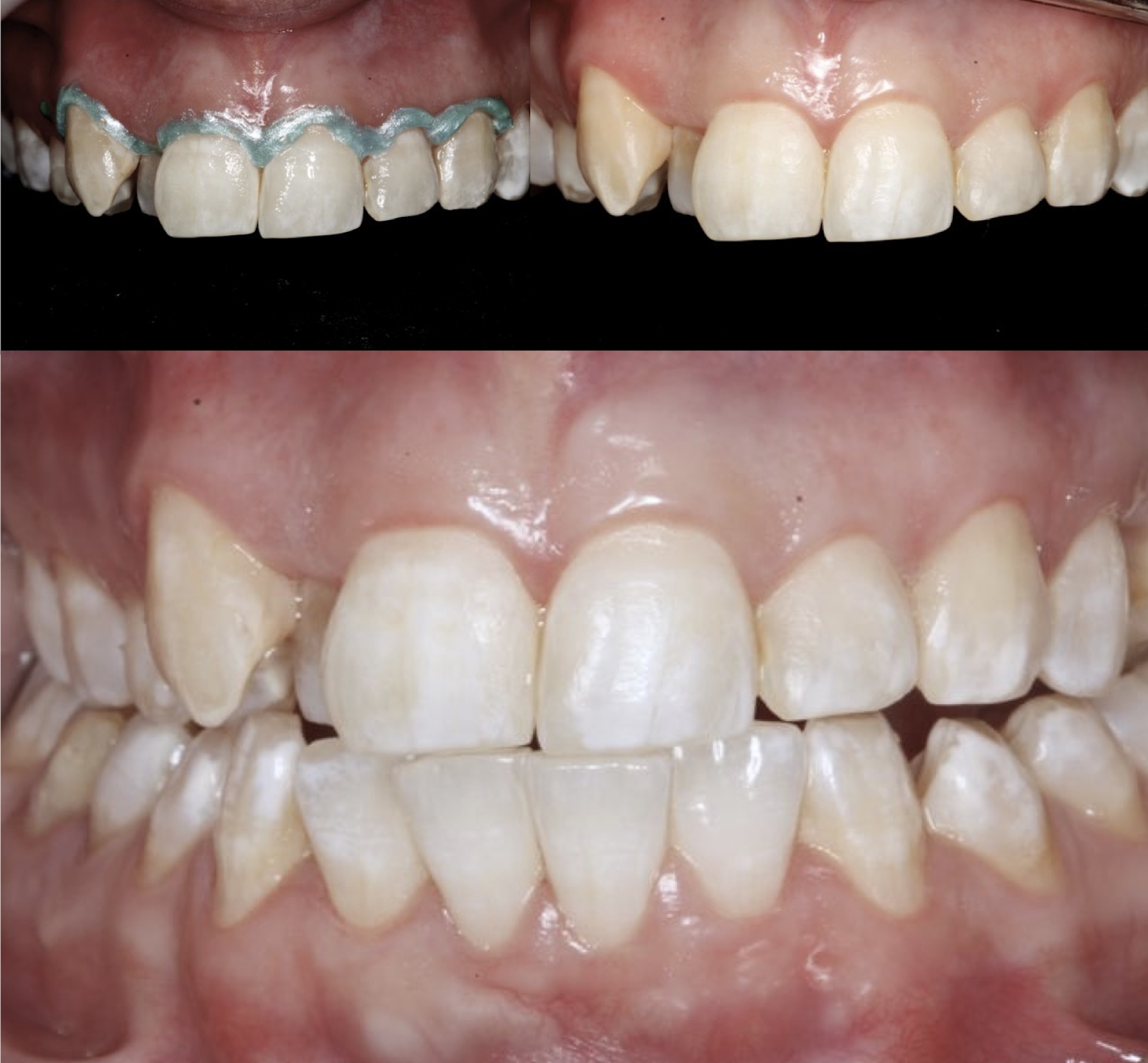
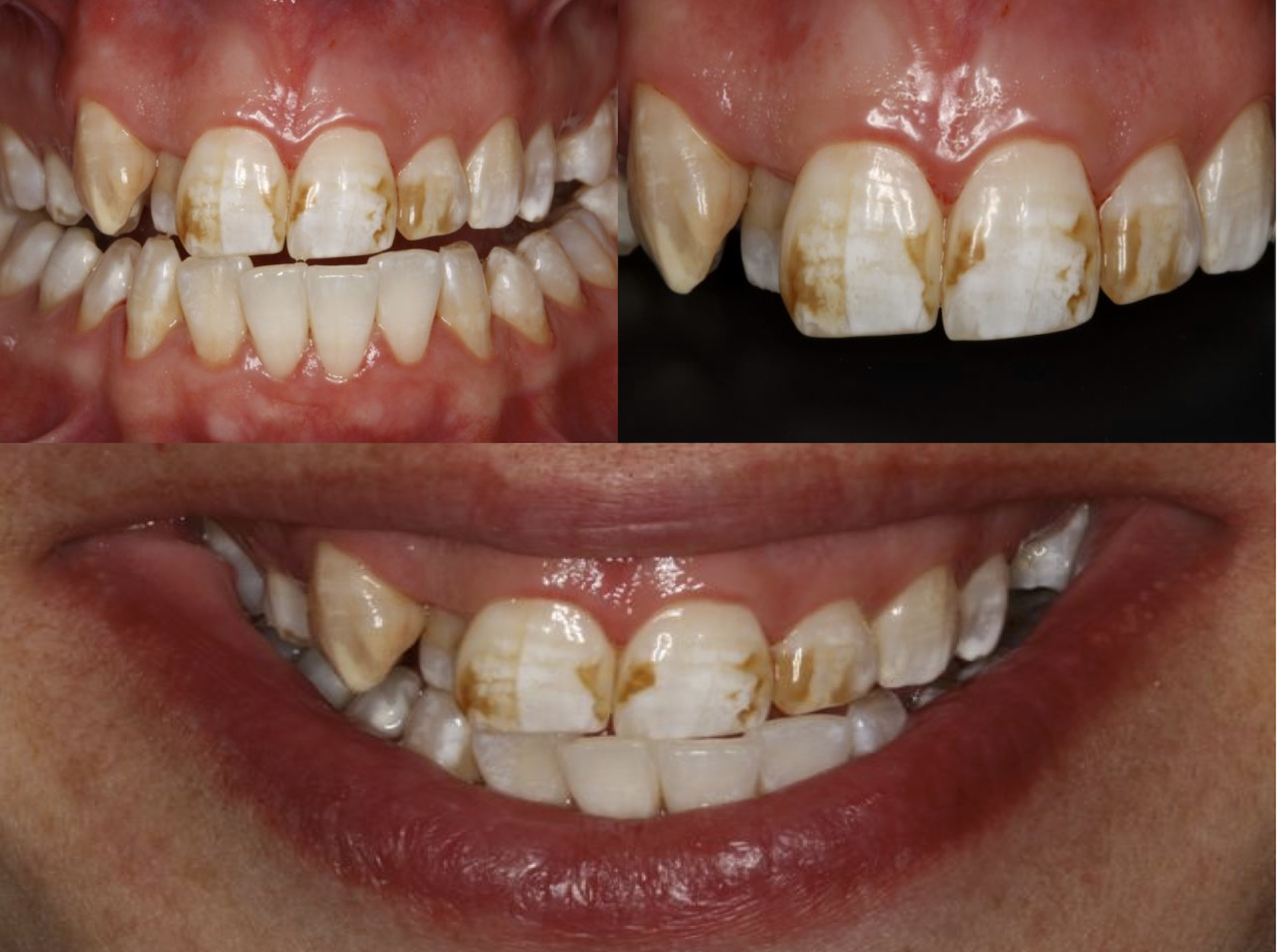
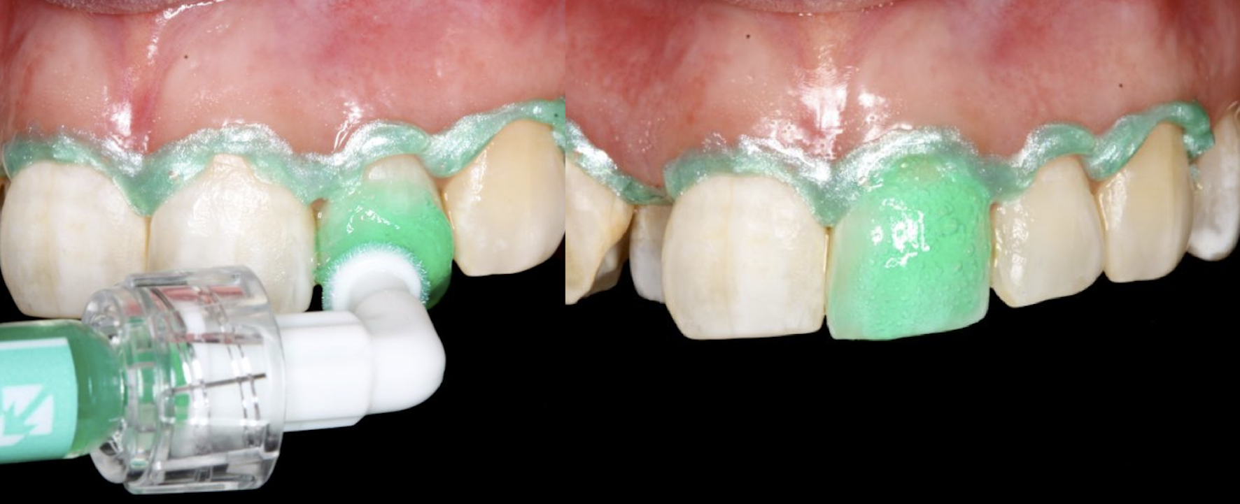
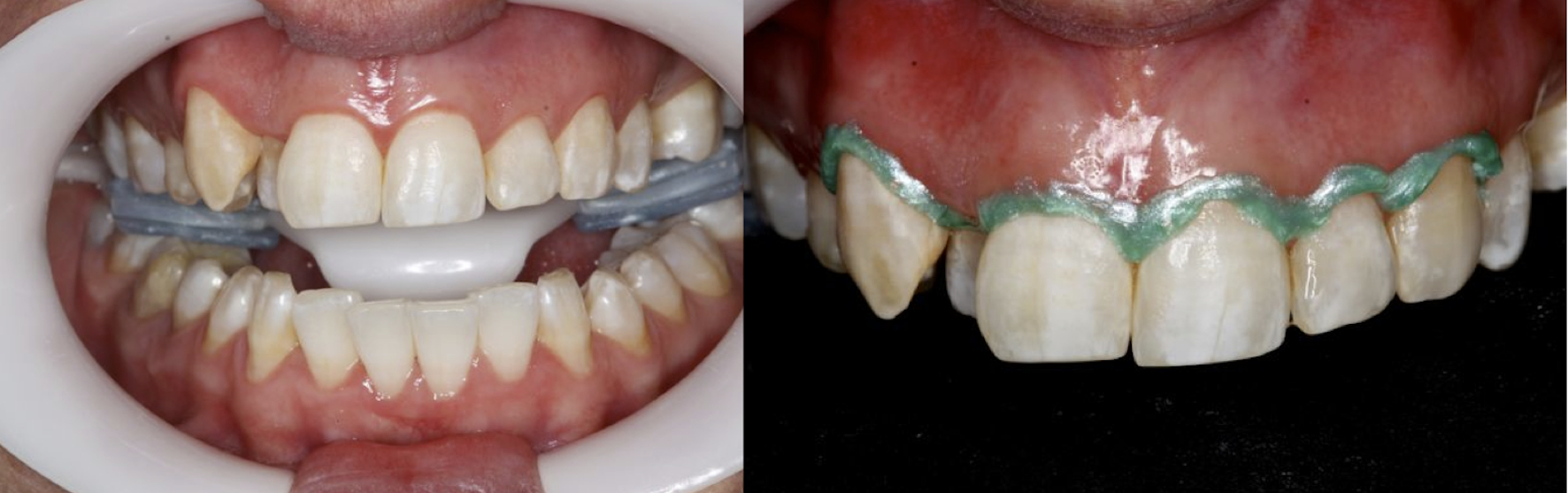
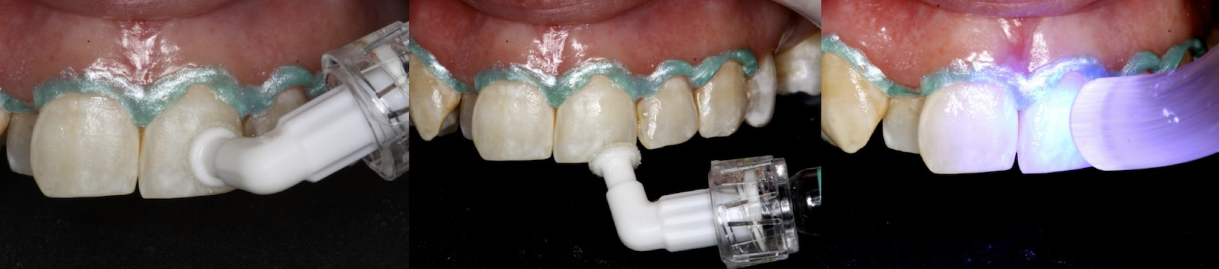
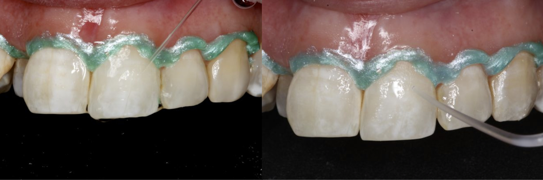
The generalized presence of stain, particularly on anterior teeth, provides an unaesthetic appearance with a negative impact on the patient. The aim of this paper is to report a case of severe chromatic alterations treated with enamel microabrasion associated with infiltration of low-viscosity resin. The intense brownish pigmentation and white spots of fluorosis lose their whitish appearance and look similar to sound enamel. This association of techniques, which might be an alternative to white-masking of intense pigmentation, showed optimal aesthetic results.
Downloads
Downloads
Additional Files
Published
How to Cite
Issue
Section
License
Brazilian Dental Science uses the Creative Commons (CC-BY 4.0) license, thus preserving the integrity of articles in an open access environment. The journal allows the author to retain publishing rights without restrictions.
=================





















