Diagnostic value of magnetic resonance imaging in the analysis of ameloblastoma: report of two cases
DOI:
https://doi.org/10.14295/bds.2019.v22i3.1763Abstract
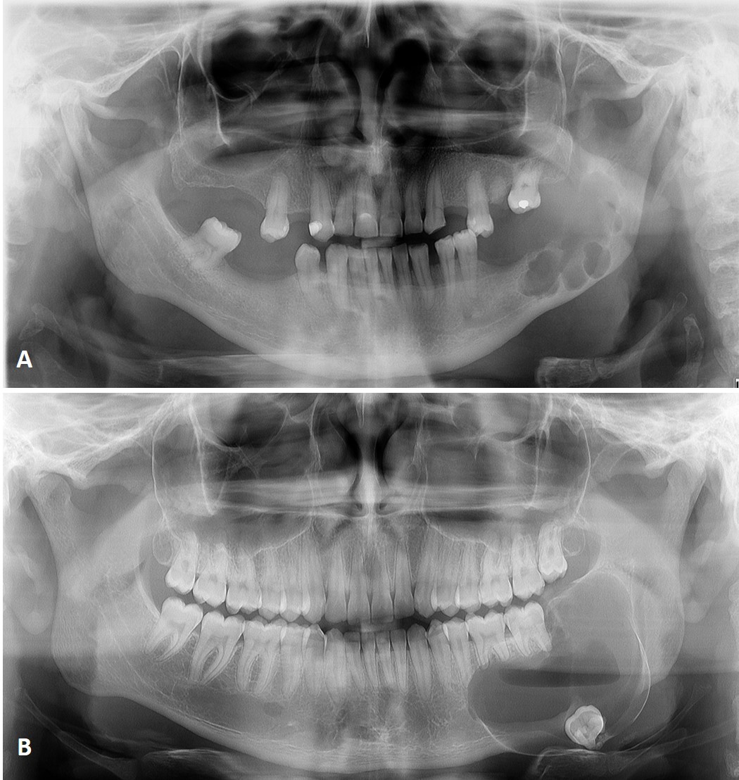
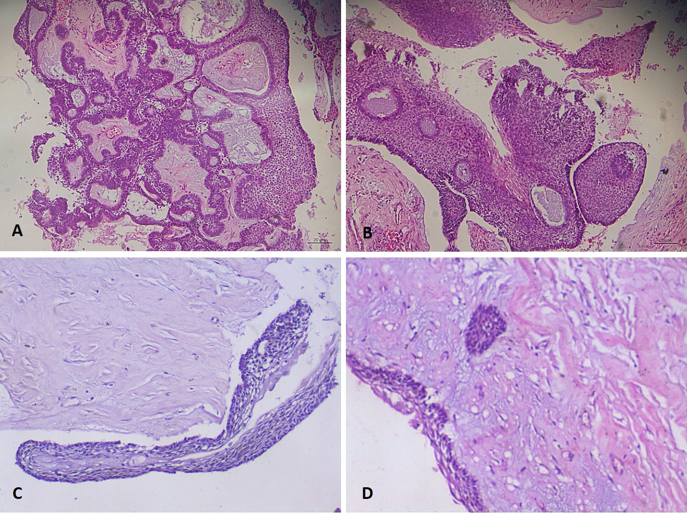
Ameloblastoma is an odontogenic tumor that shares clinical and imaging characteristics with other lesions of the jaws, such as odontogenic keratocyst, which makes the diagnosis difficult. However, in addition to radiographic and tomographic examinations, Magnetic Resonance Imaging (MRI) has been increasingly used, contributing with relevant additional information about the differentiation between solid and liquid components of the lesion. This case report was conducted to present two variations of ameloblastoma and discuss the radiographic, tomographic and MRI contribution in the differential diagnosis between ameloblastoma and odontogenic keratocyst.The signal intensity in T1-weighted MRI revealed internal fluid content in both cases, which was important in the differential diagnosis with other intraosseous lesions such as odontogenic keratocysts. This is probably due to the presence of keratin that increases the viscosity of the content and also for an intermediate signal intensity signal in T2-weighted MRI. Therefore, MRI revealed important internal characteristics of the reported lesions, which was very useful in the establishment of the differential diagnosis with other lesions.
Downloads
Downloads
Published
How to Cite
Issue
Section
License
Brazilian Dental Science uses the Creative Commons (CC-BY 4.0) license, thus preserving the integrity of articles in an open access environment. The journal allows the author to retain publishing rights without restrictions.
=================





















