Combination of dentoalveolar traumatic injury: a case report (10-year follow-up)
DOI:
https://doi.org/10.14295/bds.2015.v18i4.1141Abstract
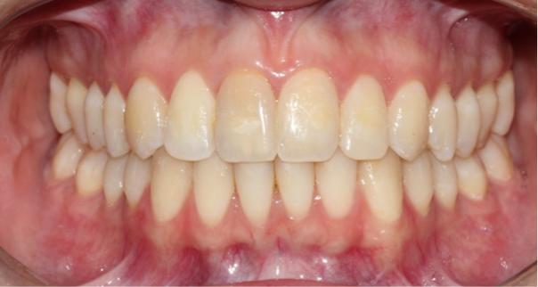
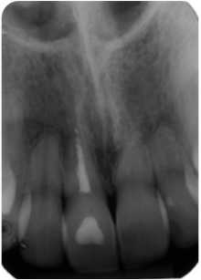
Tooth Injury comprises a group of clinical conditions that can have the separation or breakage of the tooth and its surrounding tissues. A case of multiple concomitant dental trauma is reported. In 2004, a female patient, 11 years old, visited the dental office a half hour after a dental trauma caused by a fall in the pool. She complained of mild discomfort in the tooth 11; in a clinical analysis, it was partially displaced from its socket and showed grade 2 mobility; in a radiographic analysis, the tooth showed an increase in the periodontal ligament space, a diagnosis of extrusive luxation. The adjacent teeth 21 and 22, presented subgingival bleeding, diagnosed with subluxation. After preparing the treatment plan, clinical approach consisted of manual reduction of the tooth 11 and non-rigid splint of affected teeth. The patient received a prescription of antibiotic and anti-inflammatory. After 15 days, the splint was removed and the teeth 11, 21 and 22 showed pulpal sensibility, maintaining the same results for 4 months. In the 4th month, tooth 11 was diagnosed with pulp necrosis, thus requiring endodontic treatment. After 10 years, teeth were asymptomatic, with a slight color change in tooth 11; the cone beam scan indicated root resorption in the apical third of the three elements and the presence of dystrophic calcification of teeth 21 and 22. In conclusion, the injured teeth remain in function with relevant follow-up period, highlighting the search for a response, upon the purpose of the study.
Downloads
Downloads
Additional Files
Published
How to Cite
Issue
Section
License
Brazilian Dental Science uses the Creative Commons (CC-BY 4.0) license, thus preserving the integrity of articles in an open access environment. The journal allows the author to retain publishing rights without restrictions.
=================





















