Treatment of extensive cystic lesion in the maxilla associated with dens in dente
DOI:
https://doi.org/10.14295/bds.2016.v19i3.1269Abstract
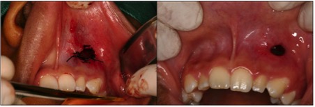
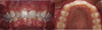
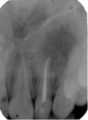
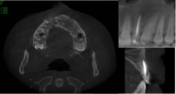
Dens in dente is a dental development malformation that involves more commonly the upper lateral incisors. Infection of the canal of these teeth can cause the formation of chronic periapical lesions. The present study aimed to describe an integrated approach between the endodontic therapy and surgical intervention in an upper lateral incisor with dens in dente type II. A female patient, 14 years old, looked for dental care complaining of left palatal and paranasal bulging. Clinical, radiological and histopathological findings suggested periradicular cyst. First, marsupialization was performed to reduce the size of the lesion and to favor its enucleation, with less risk of injuring the tooth and vital structures. After diagnosis of pulp necrosis and in attempt to reduce the infection via canal, we used the reciprocating instrumentation associated with irrigation with sodium hypochlorite, intracanal medication based on calcium hydroxide and filled with a thermoplastic filling. After a year of marsupialization, fistulectomy and complete enucleation of the lesion were performed. Proservation was performed 1, 3, 6 and 12 months following marsupialization. Six months after enucleation, we observed the periradicular repair and remission of symptoms. The extensive apical lesion associated with dens in dente type II can be treated with a combination of surgical and endodontic therapy.
Downloads
Downloads
Published
How to Cite
Issue
Section
License
Brazilian Dental Science uses the Creative Commons (CC-BY 4.0) license, thus preserving the integrity of articles in an open access environment. The journal allows the author to retain publishing rights without restrictions.
=================





















